Questo sito Web utilizza i cookie in modo da poterti offrire la migliore esperienza utente possibile. Le informazioni sui cookie sono memorizzate nel tuo browser e svolgono funzioni come riconoscerti quando torni sul nostro sito Web
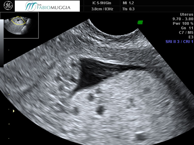
Biopsia ecoguidata di tessuto endometriale effettuata tramite curette di Novak. Si nota la grande sicurezza e precisione e la conseguente efficacia in virtu della continua osservazione ecografica.
Si osserva la formazione polipoide endometriale il cui peduncolo vascolare è reso bene evidente dai settaggi e dalla tecnica in uso; è vivamente consigliata l'effettuazione di un'indagine isteroscopica con biopsia della neoformazione.
Papilloma vescicale (tumore maligno) visualizzato tramite ecografia trans-vaginale con uso del Doppler HD Flow.
L'ecografia trans-vaginale con Doppler HD Flow mette in evidenza un polipo endometriale ecograficamente disomogeneo riccamente vascolarizzato da vasi a resistenza media e bassa.
Carcinoma ovarico diagnosticato tramite ecografia trans-vaginale con HD Flow: si nota la formazione ovarica solida, disomogenea, riccamente vascolarizzata da vasi neoformati a resistenza medio-bassa: sono presenti gli elementi fondamentali che indicano la natura maligna della neoformazione.
Questo sito Web utilizza i cookie in modo da poterti offrire la migliore esperienza utente possibile. Le informazioni sui cookie sono memorizzate nel tuo browser e svolgono funzioni come riconoscerti quando torni sul nostro sito Web
I cookie strettamente necessari dovrebbero essere sempre attivati per poter salvare le tue preferenze per le impostazioni dei cookie.
Se disabiliti questo cookie, non saremo in grado di salvare le tue preferenze. Ciò significa che ogni volta che visiti questo sito web dovrai abilitare o disabilitare nuovamente i cookie.
Ulteriori informazioni sulla nostra Cookie e Privacy Policy